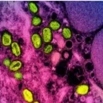
La Chine a enregistré ce vendredi 19 septembre 2022, son premier cas de la variole de singe, selon des autorités chinoises d...
Samuel Eto’o s’est attiré les regards après avoir refusé un appel de l’instance internationale du football à la campagne de...
Au Royaume-Uni, les funérailles d’Etat de la reine Elisabeth II se tiennent ce lundi 19 septembre 2022 devant des centaines...
L’Université Félix Houphouët Boigny de Cocody a abrité, le samedi 17 septembre 2022, un panel de l’OSEEF sur le rôle de la j...
Vous pouvez désormais déguster du pain frais tous les matins au petit-déjeuner sans forcément vous rendre à la boulangerie&n...
Dans le cadre de la promotion de la culture du peuple Wê, situé dans l’ouest de la Côte d’Ivoire, un nouveau festival a vu l...
En Chine, un important incendie s'est déclaré ce vendredi 16 septembre 2022, dans un gratte-ciel de la grande ville de Chang...
Plus de besoin d’utiliser de pièges pour éloigner les souris de votre maison.
Au Royaume‑Unis, deux policiers ont été transportés en urgence après êtes poignardés tôt ce vendredi 16 septembre 2022, dans...
Dakar, la capitale du Sénégal va accueillir la 11ème édition du forum international des femmes entreprenantes et dynamique l...